What is Glaucoma?
Glaucoma is a group of diseases with a common denominator: the damage of the eye’s optic nerve resulting – if remained without treatment – in vision loss and blindness. The optic nerve is a bundle of more than 1 million nerve fibers. It connects the retina to the brain. The retina is the light-sensitive tissue at the back of the eye.
People with a family history of glaucoma, people with high Intraocular Pressure, with myopia or with diabetes mellitus are at higher risk than others.
Early diagnosis and treatment can protect the eyes against serious vision loss.
In the Glaucoma & Laser Eye Center of Athens a special glaucoma department using the most advanced technology aims at the early diagnosis and a customized treatment of patients suffering from Glaucoma.
Treating
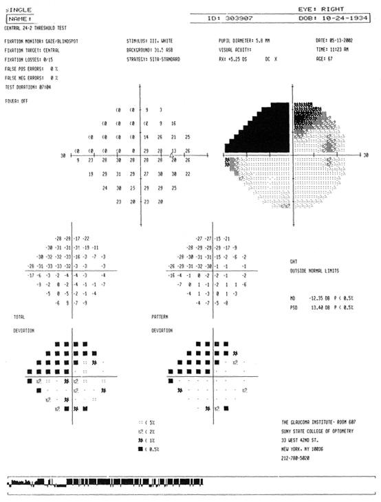
The diagnostic examination procedures include::
- Intraocular Pressure Measurement
- Gonioscopy
- Ophthalmoscopy
- Optic disc photography
- Diurnal Tonometry and 24 hour evaluation of Intraocular Pressure
- Visual fields evaluation
- Corneal Pachymetry.
- Analysis and Measurement of Retinal Thickness and Retinal Fiber Layer and Ganglion Cell Complex (GDX and OCT).
Therapeutic Procedures
The therapeutic procedures and tools include:
- Argon laser trabeculoplasty
- SLT (Selective Laser Trabeculoplasty)
- Nd: Yag laser peripheral iridotomy
- Customized Surgical Operation:
- Trabeculectomy
- Deep Sclerectomy
- Micro Invasive Glaucoma Surgery (MIGS)
New Techniques
Specific Valves
X-PRESS VALVE






